|
|
| |
|
|
|
|
|
| |
|
Pregledi glave Pregledi vrata Pregledi abdomena Pregledi male karlice Pregledi dojke Krvni sudovi ekstremiteta Pregledi mekih tkiva i zglobova Pregledi srca Kalendar ultrazvučnih pregleda u trudnoći Vodič za ultrazvučne preglede dojki i male karlice Ultrazvučna dijagnostika u dece Bračna neplodnost - ženski i muški sterilitet |
|
Kalendar ultrazvučnih pregleda u trudnoći
A) I trimestar do 14. nedelje gestacije
B)
II trimestar trudnoće od 16. do 24. nedelje gestacije
C) III trimestar trudnoće od 24. do 40. nedelje trudnoće |
|
| |
|
|
|
|
|
| |
|
|
|
|
|
| |
|
Ultrazvučno praćenje trudnoće je nezaobilazni segment u vođenu
trudnoće. Ultrazvučni pregled jedini otkriva urođene anatomske
anomalije ploda. Daleko je uspešnija, za otkrivanje hromozomskih
anomalija za razliku od biohemijskih analiza krvi trudnice. |
|
Invazivni
pregledi (plodova voda itd) su indikovani nakon ultrazvučnog genetskog
sonograma i biohemijskog pregleda krvi trudnice.
Preglede treba raditi
pravovremeno uz obaveznu kontrolu krvi trudnice. Konsultacija
ginekologa je takođe obavezna. |
|
| |
|
|
|
|
|
| |
|
|
|
|
|
| |
|
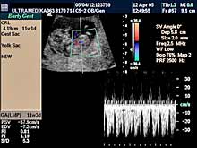
A) I trimestar do 14
nedelje gestacije
(3 meseca + 2 nedelje)



 |
|
Indikacije za ultrazvučni pregled:
- Izostanak menstruacije, procena vitalnosti rane trudnoće,
procena materične i/ili postojanje vanmaterične trudnoće.
(Od 4-7 nedelje gestacije, ili prva 2 meseca od prvog dana zadnje
menstruacije).
- GENETSKI SONOGRAM (2 - 3 ½ meseca):
- Otkrivanje ultrazvučnih markera na postojanje hromozomskih
anomalija ploda (SKRINING na ANEUPLOIDIJE). Ovaj genetski sonogram
treba uraditi dva puta u intervalu od 9 do 14 nedelje gestacije uz
biohemijsku proveru iz krvi trudnice nakon tačne ultrazvučne procene
veličine ploda. Genetski sonogram sam isključuje oko 88% trizomija,
a udružen sa biohemiskim analizama se isključuje oko 98%
aneuploidija.
- Prva procena i otkrivanje krupnih anatomskih anomalija ploda
koje ne moraju pratiti hromozomske anomalije.
- Prva procena posteljične cirkuacije Broandband - CD
- Pregled materice i organa male karlice kao i organa abdomena
trudnice.
Način pregleda:
- transabdominalno i/ili endovaginalno
(bez prethodnog punjenja
mokraćne bešike).
Primenjena tehnika:
- Broadband 2D,
- harmonik mod,
- Sono CT,
- XRes,
- Broadband 2D,
- 3D Sono CT,
- CPA.
NAPOMENA:
Ultrazvučni markeri za aneuploidije nestaju nakon I
trimestra trudnoće. Nakon toga ove markere nije moguće registrovati.
Blagovremeno otkrivanje dovodi do prekida trudnoće u dozvoljivom
vremenskom terminu. Brojne anatomske anomalije su dostupne otkrivanju
u ovom periodu trudnoće.
Ako su ultrazvučni markeri nedostupni pregledu, genetski sonogram
podrazumeva upotrebu trodimenzionalne tehnike - 3D Sono CT i CPA. |
|
| |
|
|
|
|
|
| |
|
 |
|
 |
|
| |
|
|
|
|
|
| |
|
 |
|
 |
|
| |
|
|
|
|
|
| |
|
 |
|
 |
|
| |
|
|
|
|
|
| |
|
 |
|
 |
|
| |
|
|
|
|
|
| |
|
 |
|
 |
|
| |
|
|
|
|
|
| |
|
 |
|
 |
|
| |
|
|
|
|
|
| |
|
 |
|
 |
|
| |
|
|
|
|
|
| |
|
 |
|
 |
|
| |
|
|
|
|
|
| |
|
 |
|
 |
|
| |
|
|
|
|
|
| |
|
 |
|
 |
|
| |
|
|
|
|
|
| |
|
|
|
|
|
| |
|
|
|
|
|
| |
|
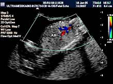
B) II trimestar trudnoće
od 16 do 24
nedelje gestacije
(4 - 6 meseca):






|
|
Indikacije za ultrazvučni pregled:
- GENETSKI SONOGRAM
(15-16 nedelja gestacije - 4. mesec):
Otkrivanje ultrazvučnih (soft) markera (markeri koji nisu prisutni u
i trimestru
trudnoće) na postojanje hromozomskih anomalija. Ovaj ultrazvučni
skrining se radi 15- 16 nedelji gestacije u ranom II trimestru
trudnoće. Sam otkriva oko 91% plodova sa aneuploidijama.
Napomena: Nezavisno od ultrazvučnog skrininga, same biohemiske analize
krvi trudnice do 35 godina starosti trudnice otkrivaju ispod 50%
trizomija. Optimalno je uraditi biohemiski skrining iz krvi trudnice
proverom 4 substance.
- SKRINING NA ANATOMSKE ANOMALIJE:
- registrovanje i procena
ultrazvučnih markera koji ukazuju na postojanje adekvatno završenog
formiranja organa ploda (embriogeneze).
Većina plodova sa poremećenom embriogenezom i postojanjem anatomskih anomalija (mozga, kičme, srca,
pluća, organa stomaka, prednjeg trbušnog zida,udova itd) se može
otkriti jedino ultrazvukom.
Napomena: a)
Provera plodove vode i druge invazivne metode ne registruju anatomske
anomalije. b)
Radi adekvatne procene postojanja anatomskih anomalija pored Broadband
2D se koristi i 3D Sono CT i 3D CPA organskih sistema dostupnih
pregledu. 3D mekih tkiva lica je sastavni deo ultrazvučnog pregleda u
ovoj gestacionoj starosti. c)
Dopuna SKRININGA NA ANATOMSKE ANOMALIJE od
18-24. nedelje je
obavezan deo u otkrivanju urođenih anomalija ploda.
- Određivanje tačnog termina za primenu amniocenteze.
(15-16. nedelje gestacije)
- Definitivna procena posteljične cirkulacije pre odluke o primeni
terapije (Upotreba Braodband CD).
- Dopuna skrininga na anatomske anomalije ploda od 18-24. nedelje gestacije.
- 3D Sono CT SRCA PLODA (fetalna ehokardiografija) Prostorno, vremenska
korelacija ultrazvučnih markera prikazana multiplanarno predstavlja
dopunsku metodu u otkrivanju urođenih srčanih anomalija.
Napomena:
a)
Urođene srčane mane su 6 puta češće od hromozomskih anomalija i
njihova težina često zahteva prekid trudnoće. b)
Ovaj pregled je posebno registrovan za trudnoće koje su prethodno
imale plod sa srčanom manom ili kada u okviru standardnog pregleda
nisu dobijene sve validne ultrazvučne informacije radi pouzdanog
isključenja njihovog postojanja.
Mada je prva procena anatomije srca obavezna u I trimestru trudnoće,
konačna procena se mora završiti od 16 do kraja 24 nedelje gestacije
(6 meseci). Nakon toga procena osnovne anatomije je otežana i
rezervisana je za procenu hemodinamike srca!
- Procena dužine grlića i otvaranja unutrašnjeg ušća, kao i položaja
posteljice u odnosu na unutrašnje učće, je jedino moguća
endovaginalnom sondom. Na osnovu ovog pregleda se postavlja indikacija
za podvezivanje materice i način porođaja.
Napomena:
Endovaginalnu procena grlića i indikacija za serklaž je
obavezna do 22. nedelje gestacije, retko kasnije!
- Pregled organa trudnice
|
|
| |
|



|
|
Način pregleda:
- transabdominalno i endovaginalno (ponekad), bez
punjenja mokraćne bešike trudnice.
Primenjena tehnika:
- Broadband 2D,
- Sono CT,
- XRes,
- Harmonik mod,
- Panorama mod,
- 3D Sono CT,
- Broadband CD,
- CPA,
- 3D CPA.
Napomena:
- Skrining na hromozomske anomalije je nezavistan od biohemiskog
skrininga, te se procenat otkrivanja ne može povećati od 91% (izolovan biohemiski skrining otkriva manje od 50% plodova sa hromozomskim
anomalijama u starosti trudnice do 35 godina).
- Pregled krvi trudnice,
plodove vode ili uzorka krvi iz pupčanika ploda su invazivne metode
koje se ne rade rutinski, već mora postojati stroga indikacija za
njihovu primenu. One mogu dovesti do spontanog prevremenog porođaja.
Danas se one ne rade do 40. godine trudnice ako GENETSKI SONOGRAM i
biohemiska analiza krvi trudnice ne ukazuje na povećan rizik za
postojanje hromozomskih anomalija. Invazivne metode (horionske čupice, amniocenteza i kordoventeza)
ne mogu otkriti većinu urođenih anatomskih anomalija (grešaka) organa
ploda. Ove greške se jedino mogu otkriti u toku pregleda ploda
ultrazvukom.
- Radi povećane tačnosti ultrazvučnog pregleda radi se 3D Sono CT mozga,
kičme, srca, abdominalnih organa ploda, i mekih tkiva lica i
ekstremiteta, kao i 3D CPA procena cirkulacije ploda. Nakon
ultrazvučnog pregleda trudnoća se nekad mora prekinuti.
|
|
| |
|
 |
|
 |
|
| |
|
|
|
|
|
| |
|
 |
|
 |
|
| |
|
|
|
|
|
| |
|
 |
|
 |
|
| |
|
|
|
|
|
| |
|
 |
|
 |
|
| |
|
|
|
|
|
| |
|
|
|
|
|
| |
|
|
|
|
|
| |
|
C) III trimestar trudnoće
od 24. do 40. nedelje trudnoće





 |
|
Indikacija za ultrazvučni pregled:
- Procena funkcije bubrega, organa abdomena, srca i cirkulacije likvora
u mozgu.
Napomena: Na svakom pregledu do kraja trudnoće.
- Procena relativnih i organskih suženja sabirnog sistema bubrega i
izvodnih kanala bubrega i mokraćne bešike.
Napomena: Obavezna primena
3D Sono CT i XRes.
- Procena eventualnih suženja izvodnih traktova srca ploda.
Napomena:
Primena Broadband - CD ili CPA i 3D CPA.
- Stalna procena ehostrukture organa ploda i njegov ukupni porast.
Napomena: Kod "hiperehogenih bubrega" procena renalnih aretrija CPD.
Stalna procena volumena pluća, želudca i veličine creva.
- Procena bolesti histiogeneze mozga ploda od 26 nedelje gestacije.
Napomena: Procena moždane cirkulacije Broadband - CD i CPA i/ili 3DCPA.
- Procena izostanka treće faze embriogeneze mozga
OD 26 NEDELJE DO KRAJA
TRUDNOĆE.
- Registrovanje destruktivnih lezija mozga fetusa.
Napomena: Mogu
nastati krvarenja mozga zbog nedostatka vitamina K (hemoragija
intrakranijalis - HIC), hipoksično-ishemične promene koje dovode do
periventrikularne i subkortikalne leukomalacije - PVL i SCL.
- Registrovanje pojave tumora organa ploda i otkrivanje infekcija ploda.
Napomena: Mada su tumori ploda retki, obično se registruju u drugoj
polovini trudnoće. Njihova tačna i blagovremena dijagnoza je u većini
slučajeva ključna u lečenju deteta.
- Od 28. nedelje procena spuštenosti testisa.
Napomena: Ova informacija
je ključna za lečenje u slučaju izostanka dospevanja testisa u skrotume u toku trudnoće.
- Procena funkcije žučnih i pankreasnih puteva.
Napomena: Blagovremena
dijagnoza omogućava i hitnu odluku o hirurškom lečenju bebe,
neposredno nakon rođenja.
- Od 34. nedelje gestacije procena epifiza kolenih zglobova. Napomena:
Ključna informacija u slučaju postojanja bolesti štitne žlezde ploda
koja je praćena zastojem razvoja inteligencije nakon rađanja bebe.
- U slučaju zastoja porasta ploda procena redistribucije krvotoka i
određivanja termina porođaja.
Napomena: Tačnost je zasnovana na
primeni Broadband Color Dopplera i Color Power Dopplera.
- Procena posteljice i protoka pupčanika, kao i njegov tok i položaj.
Napomena: mogućnost pogrešnog položaja pupčanika na posteljici,
njegovo prednjačenje u porođaju, ili njegov neadekvatan položaj oko
dela tela ploda, ili formiranje čvora ili zapušenje, su krucijalna
informacija u toku pregleda do tada normalne trudnoće.
- U 37. nedelji trudnoće procena veličine grlića endovaginalnom sondom.
Napomena: Dužina i izgled grlića mogu pouzdano odrediti termin carskog
reza i očekivanog porođaja, i mogućnosti ili ne mogućnost završetka
porođaja indukcijom.
|
|
| |
|
|
|
|
|
| |
|
 |
|
Napomena:
U III trimestru pregled trudnoće zbog velikog broja
indikacija treba nastaviti u 4 nedeljnim intervalima. Nekad se donosi
odluka o ranijem terminu porođaja, hitnom carskom rezu, a izuzetno
retko o prekidu trudnoće na osnovu podataka dobijenih u toku redovne
ultrazvučne kontrole trudnoće u III trimestru.
 |
|
| |
|
|
|
|
|
| |
|
 |
|
 |
|
| |
|
|
|
|
|
| |
|
 |
|
 |
|
| |
|
|
|
|
|
| |
|
 |
|
 |
|
| |
|
|
|
|
|
| |
|
 |
|
 |
|
| |
|
|
|
|
|
| |
|
 |
|
 |
|
| |
|
|
|
|
|
| |
|
 |
|
 |
|
| |
|
|
|
|
|
| |
|
|
|
|
|
| |
|
|
|
|
|
| |
|
|
|
|
|
| |
|
|
|

specijalistička ordinacija
Ultrazvučna dijagnostika
Vojvode Dobrnjca 34, 11000 Beograd, SCG
Tel: 011/33 90 848, 33 92 916; Mob: 063/ 81 70 714
|
|
| |
|
|
|
|
| |
|
Developed by
Infotrend. |
|
(C) 2005-2007. Ultramedika. |
|
| |
|
|
|
|