|
|
| |
|
|
|
|
|
| |
|
Pregledi glave Pregledi vrata Pregledi abdomena Pregledi male karlice Pregledi dojke Krvni sudovi ekstremiteta Pregledi mekih tkiva i zglobova Pregledi srca Kalendar ultrazvučnih pregleda u trudnoći Vodič za ultrazvučne preglede dojki i male karlice Ultrazvučna dijagnostika u dece Bračna neplodnost - ženski i muški sterilitet |
|
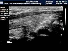
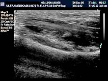
Pregledi mekih tkiva i zglobova
Pod mekim tkivima se podrazumeva potkožno masno tkivo, mišići celog
tela, dostupni nervi i regionalne limfne žlezde, a od zglobova se
prvenstveno misli na: rame, lakat, šaku, koleno i skočni zglob. |
|
| |
|
|
|
|
|
| |
|
|
|
|
|
| |
|
Najčešći simptomi:
- Bol,
- otok i izrasline u mekim tkivima tela,
- lokalizovana izmena boje kože i izraslina, kao i pojačano
strujanje krvi,
- stanja nakon udara i povreda delova tela ili pomenutih zglobova,
kao i neobjašnjiva oteklina zglobova sa ili bez bola.
 |
|
Vrsta
i sadržaj pregleda:
- Procena morfologije mekih tkiva i trodimenzionalna procena
izraslina uz procenu njihovih krvnih sudova i njihovo poreklo
(procena neovaskularizacije).
- Procena morfologije i vaskularizacija regionalnih limfnih
žlezda.
- Procena struktura koje učestvuju u funkciji zgloba.
- Procena patološkog sadržaja u zglobu i procena unutrašnje
površine zgloba.
- Obavezna procena krvnih sudova u okolini zgloba.
|
|
| |
|
|
|
|
|
| |
|
 |
|
Primenjene tehnike:
- 2D Broad band,
- Sono CT ,
- XRes,
- 3D Sono CT,
- Broad band - CD,
- CPD,
- 3D CPD panorama mod.
Preporučeni pregledi:
- Uvek ako postoje simptomi,
- praćenje izlečenja preloma kostiju.
|
|
| |
|
 |
|
 |
|
| |
|
|
|
|
|
| |
|
 |
|
 |
|
| |
|
|
|
|
|
| |
|
 |
|
 |
|
| |
|
|
|
|
|
| |
|
|
|
|
|
| |
|
|
|
|
|
| |
|
|
|

specijalistička ordinacija
Ultrazvučna dijagnostika
Vojvode Dobrnjca 34, 11000 Beograd, SCG
Tel: 011/33 90 848, 33 92 916; Mob: 063/ 81 70 714
|
|
| |
|
|
|
|
| |
|
Developed by
Infotrend. |
|
(C) 2005-2007. Ultramedika. |
|
| |
|
|
|
|