Virusna infekcija u I trimestru trudnoće
Frontomaksilarni ugao
Fetalna ehokardiografija
Očinstvo nakon operacije varikokele
Frontomaksilarni ugao
Rano otkrivanje hipertenzivne bolesti
Trikuspidna regurgitacija u trizomiji 21 para hr.
Ultrazvučna dijagnostika lokalizacije spine bifide
Dijagnostika bolesti posteljice u trudnoći
Otkrivanje urođenih srčanih mana
Predvidjanje predstojećeg gubitka ploda
Down-ov sindrom u trudnoći
DOWN – sindrom
Paraovarijalne / paratubarne ciste
Trizomija 18
Dijagnognostika bolesti posteljice u trudnoći
Ultrazvučna dijagnoza Down sindroma u trudnoći
Rano otkrivanje hipertenzivne bolesti
Dijagnostika tumora ploda u toku trudnoće
Bubrezi i trudnoća
Urođene anomalije organa trbušne duplje
Anomalija žučnih puteva i pankreasa ploda
Bolesti pluća ploda
Trodimenzionalni pregled glave i kičme ploda
Otkrivanje skeletnih displazija u trudnoći
Trodimenzionalni pregled srca ploda u trudnoći
Urođene srčane mane - fetalna ehokardiografija
Srce fetusa - fetalna ehokardiografija
Zastoj rasta ploda
Sonografska fenotipizacija ploda
Genetski sonogram
Dijagnostika centralnog nervnog sistema ploda
I trimestar trudnoće
Trudnoća i dojke
Ultrazvučna dijagnostika organa male karlice
 

I trimestar trudnoće

Nova dostignuća ultrazvučne dijagnostike

Prvi trimestar trudnoće je veoma važan segment u razvoju ploda.
Ultrazvučna dijagnostika (UZ) mora da odgovori na sledeća pitanja:
1. Da li je trudnoća materična ili vanmaterična?
2. Dali je trudnoća vitalna ili ne?
3. Da li plod poseduje hromozomsku anomaliju?
4. Da li je dotadašnji strukturni razvoj ploda adekvatan?

 
   
     
           
           
    1. Da li je trudnoća materična
ili vanmaterična?

Na razne načine se može utvrditi postojanje trudnoće . Međutim ova konstatacija nije dovoljna. Povremeno se može desiti da je trudnoća vanmaterična (EU)! Na standardnom UZ pregledu se ne registruje gestacioni sac - GS (vreća u kojoj počinje da se razvija plod) unutar šupljine materice. Od kvaliteta ultrazvučnog aparata i iskustva i znanja doktora zavisi blagovremeno otkrivanja ovog bolesnog stanja žene. Naime blagovremeno otkriti GS u abdomenu, ili u jajovodu predstavlja veliki problem. Osim toga GS može biti pogrešno smešten u grliću materice ili na mestu prethodnog Carskog reza. KOMPJUTERIZOVANA ULTRAZVUČNA DIJAGNOSTIKA-Sono CT i Xres, koristi više ultrazvučnih talasa iz raznih pravaca za razliku od konvencionalne tehnika i omogućava znatno precizniju 2D sliku. Posebna tehnika-HARMONIK MOD za uklanjanje artefakata nastalih od crevnih vijuga je takođe nezamenjiva u otkrivanju rane vanmaterične trudnoće. Blagovremena dijagnoza vanmaterične trudnoće omogućava medikamentno lečenje bez hirurške intervencije.
  2. Da li je trudnoća vitalna ili ne?
Veoma često u prvim nedeljama trudnoće dolazi do oskudnog krvarenja koje kod trudne žene izaziva strah. Savremena UZ dijagnostika mora otkriti razlog ovog krvarenja. Najčešći razlog je manja subhorionska hemoragija, koja nastaje u toku formiranja posteljice i ne zahteva primenu hormonske terapije.
Jedna trudnoća se ne može smatrati vitalnom ako se ne registruje srčana radnja ploda. Čak šta više u zavisnosti od veličine ploda srčana radnja je različite učestalosti. Obaveza je doktora da M-modom tačno izmeri frekvencu srčane radnje. Usporen srčani rad u odnosu na starost trudnoće obično predstavlja loš prognostički znak za vitalnost trudnoće!

 
           
           
    3. Da li plod poseduje
hromozomsku anomaliju?

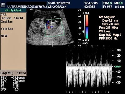
A) Prvi marker za hromozomsku anomaliju (najčešće se misli na trizomiju 21 para hromozoma) je neadekvatna veličina Yolk sac-a (žumančane kese) u 7 nedelji gestacije (GN).

B) Drugi marker je registrovanje postojanje povećane debljine prozračne zone (NT) u vratu ploda-embriona. Obično greške nastaju kada se kontura vrata ploda ne razlikuje od amniona - opne u kojoj se plod nalazi. Osim znanja doktora, rezolucija slike Ultrazvučnog aparata čini ključnu ulogu u merenju ove strukture. Ona-NT se meri u periodu od 9 do 14 GN. Iako je najveća normalna debljina NT 2,5 mm na kraju 14 GN ova vrednost NT može ukazivati na trizomiju ako je registrovana na početku ovog vremenskog perioda. Samo Ultrazvučna kompjuterizovana tomografija može u velikom procentu pouzdano izmeriti ovu strukturu i to na dva načina. Pregled endovaginalnom sondom Braund-band od 8-4MHz, često zbog pozicije ploda nije u stanje da adekvatno registruje NT. Pregled se može znatno zbog toga produžiti i ne mora tačno izmeriti debljinu NT. Međutim u ovakvim situacijama upotrebom Braund-band sondi koje koriste ceo opseg ultrazvučnih talasa od 12 do 5 MHz, pregled se u velikom broju slučajeva završava pregledom preko prednjeg trbušnog zida. Ovaj transabdominalni pregled ima prednosti zbog mogućnosti boljeg pozicioniranja ultrazvučne sonde
u odnosu na položaj ploda, pri čemu je kvalitet slike neuporedivo bolji u odnosu na pregled vaginalnom sondom. Jedino konstitucija trudnice donekle ograničava pregled preko prednjeg trbušnog zida (mokraćna bešika ne mora biti puna).

  C) Frekfenca srca ispod odgovarajuće učestalosti u odnosu na gestacionu starost je takođe UZ marker za hromopzomsku anomaliju.
Povećana debljina NT uz neadekvatnu frekvencu srčanog rada embriona otkriva oko 80 % oštećenih plodova. Važnost ovog ultrazvučnog markera je i u tome što mnoga oštećenja građe ploda takođe bivaju praćena neadekvatnom debljinom vratne regije ploda.

D) Četvrti UZ marker koji mora biti proveren je procena PI (pulzativnog indeksa) tj. procena otpora proticanju krvi kroz venski sud koji dovodi krv u srce ploda i naziva se Duktus venozus! Ova struktura je veličine nekoliko milimetara i pouzdano se može kodirati Braund Band CD i kolor Power Dopplerom. Praktično samo aparati velikih mogućnosti koji koriste ovu tehniku mogu u velikom procentu tj kod većine trudnoća u ovoj gestacionoj starosti registrovati patološki protok u Duktusu venozusu!
Inače patološki protok u ovom malom krvnom sudu je od velikog značaja jer može ukazivati da plod ima hromozomsku anomaliju ili urođenu srčanu manu!

E) Peti UZ marker u ovoj starosti trudnoće je postojanje nosnih kostiju. Početak njihovog razvoja i veličina zaostaju kod plodova sa trizomijom 21 para. U zadnjih nekoliko godina početno oduševljenje lekara da je ovo ključni marker u otkrivanju hromozomskih anomalija je splasnuo jer je nekoliko velikih studija otkrilo da on nije tako senzitivan. Međutim nova otkrića su ponovo povećala značaj ovog markera. Prvobitni način merenja nosnih kostiju je bio pogrešan. Naime, tek naknadno je shvaćeno da su čeone kosti tek počele svoj razvoj i da su znatno udaljene jedna od druge u ovoj starosti ploda, te na tačnom sagitalnom prikazu ploda ove se čeone kosti ne mogu uočiti. Tek na ovakvom ultrazvučnom preseku možemo procenjivati prisustvo i veličinu nosnih kostiju. Ako su na profilnom snimku bebe prisutne frontalne kost onda se na mestu nosnih kostiju vidi nastavak gornje vilice a ne nosne kosti. Bez Broand band endovaginalnih sondi i transabdominalnih od 5-12 MHz nema govora o proceni ovog markera. Takođe se na ovom preseku meri i veličina gornje vilice i uva ploda što skupa povećava znatno osetljivost savremene kompjuterizovane ultrazvučne dijagnostike.
Svih 5, t.j 7 UZ markera otkrivaju do 95% svih plodova sa trizomijom 21 para u I trimestru trudnoće.
Treba napomenuti da se sa procenom biohemijska dva markera iz krvi trudnice ova verovatnoća povećava na 98%. Ipak je važno da se kaže da samo test iz krvi nema veliki procenat otkrivanja trudnoće sa hromozomskom anomalijom i ispod je 50% kod trudnica starosne dobi do 35 godina.
 

 
           
       
           
           
    4. Da li je dotadašnji
strukturni razvoj ploda adekvatan?


Moramo u samom početku naglasiti da bez postojanja Braund band ultrazvučnih sondi visoke rezolucije od 5-12 MHz nema precizne procene građe ploda u ovoj starosti trudnoće čak i ako se koriste vaginalne sonde adekvatnih tehničkih mogućnosti. Pregled ploda se radi po sledećim organskim sistemima:
   
           
    A) U ovoj starosti trudnoće se savetuje obavezna procena građe srca ploda iz sledećih razloga:
a. Srce je završilo svoj razvoj do 11. nedelje trudnoće.
b. Učestalost srčanih mana ploda je šest puta češće nego hromozomskih anomalija.
c. Amniocenteza i testovi iz krvi trudnice ne otkrivaju urođene srčane mane.
d. Ako je registrovana krupna srčna mana ploda savetuje se prekid trudnoće u dozvoljivom terminu prekida tj u I trimestru trudnoće
e. U daljem toku trudnoće u II ili III trimestru pregled srca ploda ne mora uvek biti optimalan. Na ovo utiče sigurno nepovoljan položaj ploda, posteljica na prednjem zidu, manjak plodove vode, konstitucija trudnice itd.

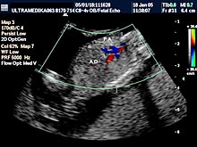
Procena srca se ogleda u proceni položaja srca, proceni anatomskih karakteristika sve 4 srčane šupljine tj. određivanje njihovog adekvatnog položaja, proceni položaja AV valvula, proceni postojanja AV kanala, adekvatnom položaju aorte i plućne arterije, i odnos velikih krvnih sudova na odgovarajućim presecima tj. 3VV i 3 VT. Često je i venska drenaža dostupna pregledu. Procena toka krvi je moguća aparatima koji mogu kodirati oskudan protok kroz srce u ovoj gestacionoj starosti. Adekvatno prikazivanje prolaska krvi kroz srce nije moguć bez postojanja Broad band CD i kolor Power Dopplera.

  B) Pregled mozga ploda
U ovoj gestacionoj starosti su završene prve dve faze formiranja mozga tj histiogeneza i divertikulacija. U I trimestru UZ dijagnostika podrazumeva procenu da li je došlo do adekvatne divertikulacije . Ona se ogleda u proceni građe lateralnih komora i struktura koje stvaraju moždanu tečnost-likvor, proceni građe talamusa, postojanje kavuma septi pelucidi, građi zadnje lobanjske jame tj. malog mozga i cisterne magne. Na osnovu procenjene anatomije mogu se isključiti brojne urođene anomalije nervnog sistema.

C) Pregled kičme ploda
Osnovna anatomija pršljenskih tela se ogleda u proceni epifiznih jezgara pršljenskih tela i deo je UZ dijagnostike u ovoj starosti trudnoće.

D) Pregled grudne i trbušne duplje ploda
Procena položaja želudca određuje situs visceralnih organa, a procena prednjeg zida trbuha je takođe obavezna u ovoj starosti trudnoće. Prva procena organa trbušne duplje je u sklopu ovog pregleda. Položaj dijafragmi i njihova celovitost omogućava odvajanje pluća od organa stomaka, uz obaveznu procenu ehostrukture samih pluća.

E) Procena koštanih struktura
Podrazumeva pregled koštanih struktura lobanje i svih ekstremiteta uz posebnu procenu prstiju šaka i samih stopala. Mnoge urođene koštane displazije se mogu otkriti u ovoj starosti trudnoće.

F) Određivanje pola ploda
U ovoj starosti trudnoće procena pola ploda je obično moguća. Pouzdanost ide do 98% trudnoće preko 13. nedelja gestacije!

G) Procena nedovoljnosti posteljice
Prva procena posteljice počinje u ovoj gestacionoj starosti a takođe i njen položaj u odnosu na unutrašnje ušće materice. Izračunavanje PI uterusnih arterija je ključna za procenu posteljice.

H) Pregled trudnice
U ovoj starosti trudnoće poželjan je i pregled organa trbušne duplje i male karlice trudnice. Sigurno ako je anamneza pozitivna preporučuje se i pregled dojki trudnice.

 
           
       
           
   

  ZAKLJUČAK

Savremena kompjuterizovana ultrazvučna dijagnostika (Sono CT i X Res) uz primenu Broad Band kolor Dopplera i kolor Power Dopplera i ultrazvučnih Broad band sondi od 8-4MHz (endovaginalne) i 12-5MHz (transabdominalne) nam danas omogućava pregled trudnoće u I trimestru (do 14 GN) na jedan sasvim drugačiji način nego što je to moguće konvencionalnim ultrazvučnim pregledima koji ne poseduju ovu tehniku. Preciznost pregleda ovom tehnikom je mnogo veća i moguća je u I trimestru trudnoće za razliku od dosadašnjih ultrazvučnih pregleda. Procena debljine vratne regije -NT uz frekvencu srca otkriva 80% hromozomskih anomalija. Ako su procenjeni svi UZ markeri tj. njih 7 otkrivanje hromozomskih anomalija je u procentu od oko 92-95%. Savetuje se i biohemijski pregled krvi trudnice koji sa Uz markerima otkriva oko 98% trizomija 21 para hromozoma tj. Down sindrom.
Savremena UZ dijagnostika može otkriti ozbiljne urođene srčane manu čak i u većem procentu nego u III trimestru.
Zbog svega ovoga je UZ pregled trudnice u I trimestru jako značajan za budućnost same trudnoće.
Osim kvaliteta ultrazvučne opreme važno je i znanje samog doktora. Poznato je da za Ultrazvučnu dijagnostiku, za razliku od drugih radioloških dijagnostika, važi sledeće pravilo: vidi se onoliko koliko se traži, a traži se onoliko koliko se zna.

 
           
       
           
       
           
       
           
       
           
       
           
           
       
specijalistička ordinacija
Ultrazvučna dijagnostika
Vojvode Dobrnjca 34, 11000 Beograd, SCG
Tel: 011/33 90 848, 33 92 916; Mob: 063/ 81 70 714
 
 
   

 
    Developed by Infotrend.   (C) 2005-2007. Ultramedika.